整形外科について
整形外科は首や腕、背中、腰、足の先まで、痛みや腫れ、しびれなどの症状を治療致します。骨折や人工関節手術、外来・入院リハビリテーション、骨粗しょう症の治療を行っております。当院では現在、外反母趾をはじめとした足の外科や肩関節周囲炎(四十肩・五十肩)のリハビリテーションに力をいれています。
大分市の整形外科の中で、リハビリテーション科や泌尿器科、消化器外科、内科があるため、他科にわたり総合的な治療を受けることが当院では可能です。
手術
腱鞘炎などの日帰りの手術をはじめ、ケガや交通事故による手関節や股関節、足関節などの骨折の手術、変形性関節症に対しての人工関節手術、外反母趾の矯正手術を行っております。
手術後は、自宅退院できるまでの入院のリハビリテーションを行います。自宅退院してからも、ケガする前・悪くなる前の関節の機能をできるだけ取り戻せるように、通院でのリハビリテーションを行っております。
■クリーンルームクラス1000の手術室
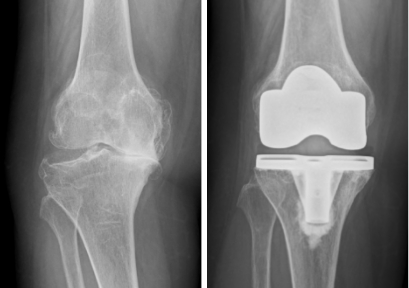
■人工膝関節置換術

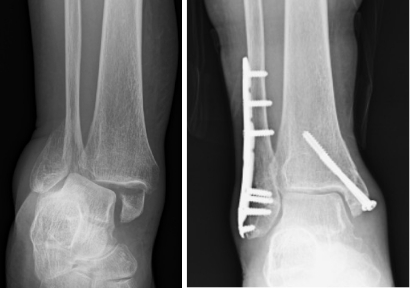
■骨接合術

骨粗しょう症
当院では、「腰椎」および「大腿骨頸部(股関節)」で
骨密度を測定します。
骨粗しょう症は、年齢など様々な原因で骨の強度が低下して、骨折しやすくなる病気です。骨粗しょう症になっても、骨折を起こさなければ痛みがないため、放置されていることが多いです。できるだけ早期の検査・発見・適切な治療法の選択(食事・運動療法もしくは治療薬の開始など)を行うことが、これからの生活の質を下げないことにつながります。大分市の整形外科で骨粗しょう症検査希望の方は、お電話ください。
